*記事が消えてしまったので書き直しています

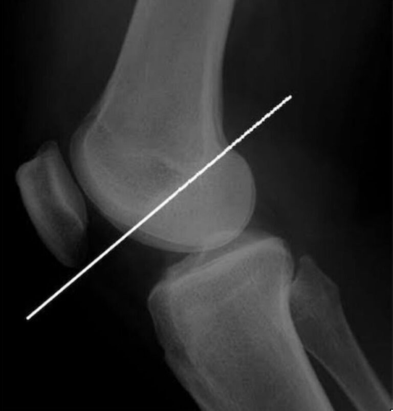
大腿骨顆間部の上縁をなぞるラインです。側面でみるとこのようになります。
顆上骨折のときはこのラインより前から髄内釘を入れるのがコツですね。下から入れてしまうと髄内釘によって伸展変形してしまいます。
あまり名前としては登場しませんが知っておくと便利なラインですので覚えて周囲に自慢しましょう。
骨折の本といえば以下がおすすめです。
骨折治療基本手技アトラス~押さえておきたい10のプロジェクト | 最上 敦彦 |本 | 通販 | Amazon
Amazonで最上 敦彦の骨折治療基本手技アトラス~押さえておきたい10のプロジェクト。アマゾンならポイント還元本が多数。最上 敦彦作品ほか、お急ぎ便対象商品は当日お届けも可能。また骨折治療基本手技ア...
骨折 髄内固定治療マイスター | 澤口 毅 |本 | 通販 | Amazon
Amazonで澤口 毅の骨折 髄内固定治療マイスター。アマゾンならポイント還元本が多数。澤口 毅作品ほか、お急ぎ便対象商品は当日お届けも可能。また骨折 髄内固定治療マイスターもアマゾン配送商品なら通常...
